The stress-free
dental lab
Get repeatable, consistent quality while spending less money.
A paradigm shift for your practice.
Talk with Sales to determine the best plan for your practice based on your scanner preferences and lab spend commitment.
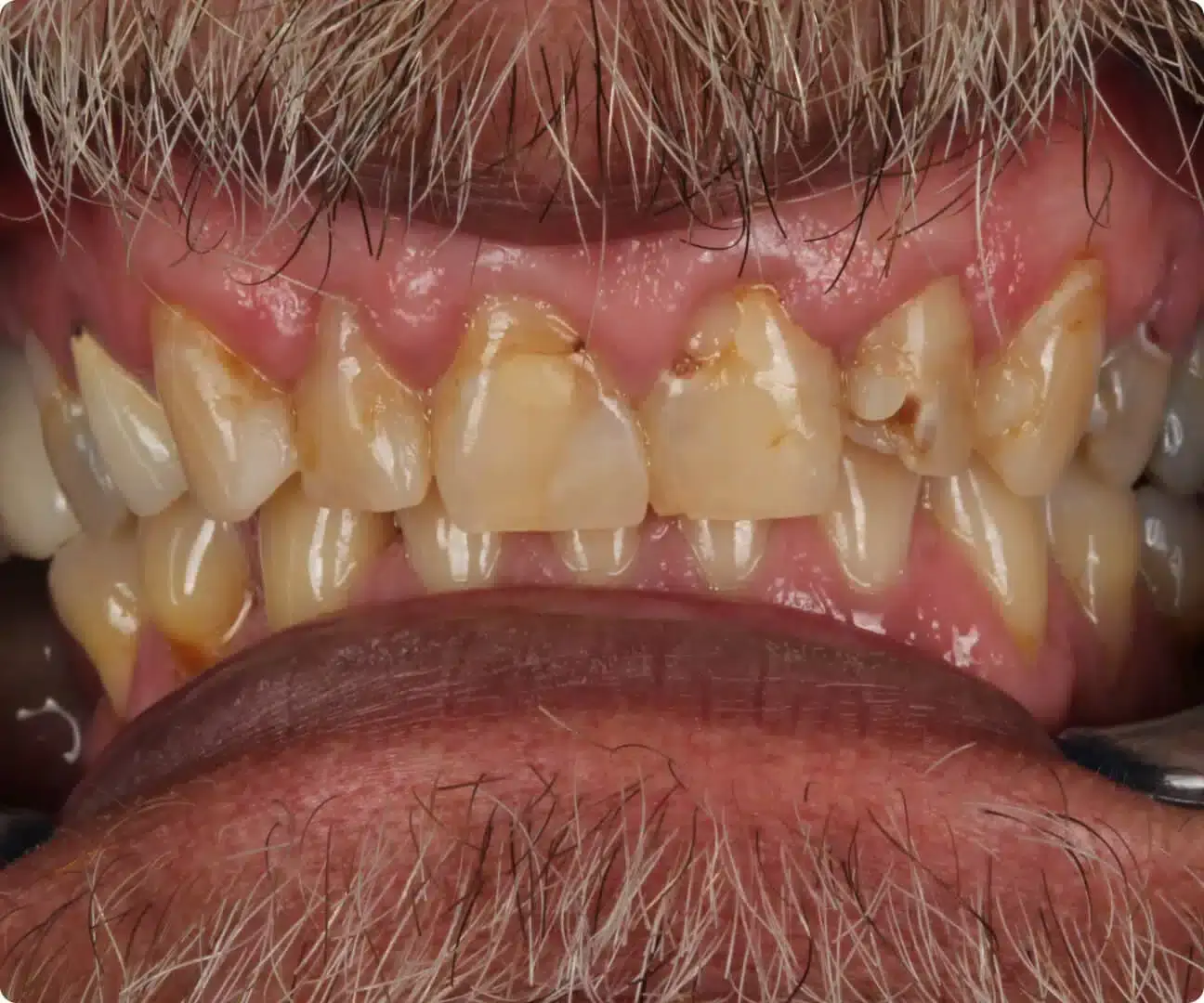
- Remake prone analog workflows
- Annoying calls saying your scan is bad
- Cross your fingers the case looks right
- Just use for a 1-2 products
- 4-6 appointments for dentures
- 2+ week for zirconia crowns
Talk with Sales to determine the best plan for your practice based on your scanner preferences and lab spend commitment.
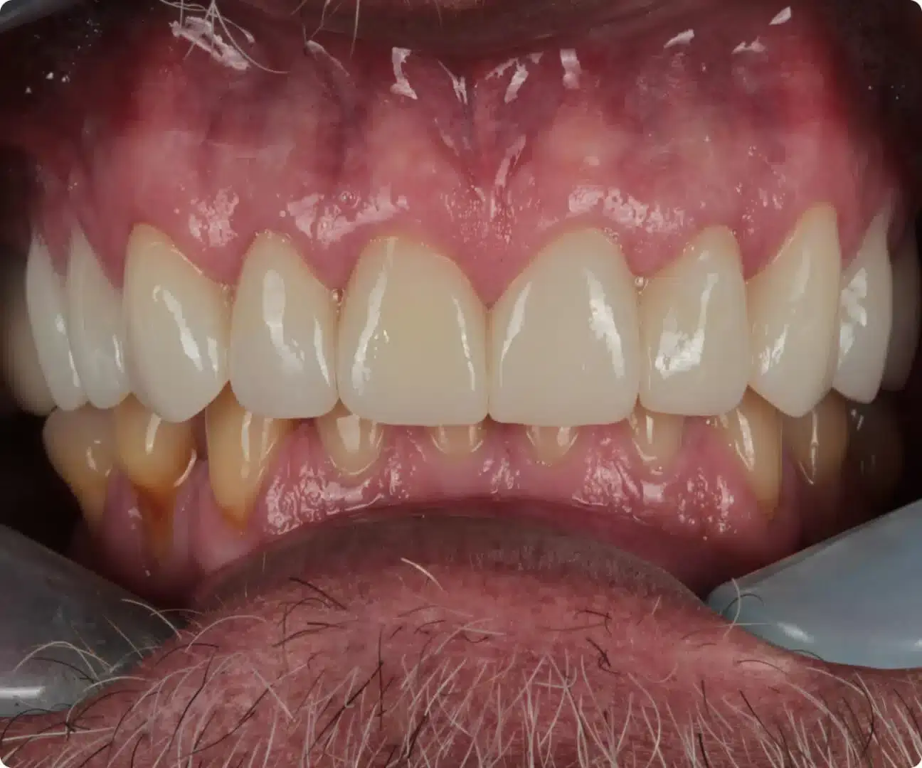
- Scan for everything w/ less remakes
- Get scans reviewed with patient in chair
- No surprises with 3D design approval
- Use one lab for everything
- 2-appointment dentures
- 5-day zirconia crowns
See why dentists love Dandy.
Dandy’s Head of Manufacturing shares an exclusive behind-the-scenes look at what sets Dany apart.
Average reduction in remakes when partnering with Dandy
Based on statistics from real Dentists. Explore our partnerships.
The better way to do lab work.
Perfect fit. Fast turnarounds. One connected system that simplifies your workflow.
Dentures
Deliver affordable, 2-appointment dentures using Dandy’s streamlined workflow, with cases ready in under 10 days. Premium milled and 3D-printed materials start as low as $199 per arch and include a 5-year warranty, ensuring quality without the cost.
Posterior Crowns
Get AI-perfected posterior crowns in just 5 days, with real-time prep analysis to ensure precise, glove-fit margins. Backed by a 10-year warranty, our zirconia and other premium materials start at only $99 per unit.
Anterior Crowns
Transform smiles with premium anterior crowns designed for stunning aesthetics at a fraction of traditional prices. With free 3D design approvals and $64 diagnostic wax-ups, practices can confidently deliver predictable and cost-saving smile makeovers.
Implant Restorations
Restore with confidence using authentic, FDA-approved implant parts and custom abutments milled in-house. Dandy supports every approved system, cutting costs with free scan bodies and offering titanium, zirconia, and Ti-base options for ideal aesthetics.
Guided Implant Surgery
Plan and place implants with precision using digital treatment plans and 3D-printed surgical guides. At only $109 per site, these guides provide reliable fit and confidence for every procedure.
Clear Aligners
Offer patients affordable, doctor-directed clear aligners supported by 3D treatment simulations that drive case acceptance. With three flexible pricing plans and expert ortho support, practices can launch cases within days.
Splints, Guards & TMJ
Provide patients with precise, comfortable night guards and TMJ solutions designed using digital heatmaps and 3D-printed accuracy. Options start at $59 when bundled with crowns, making them a natural add-on for protecting restorative work.
Sleep Appliances
Expand into dental sleep medicine with mandibular advancement devices that provide a CPAP alternative for patients with OSA. Backed by medical billing support and proven efficacy, these appliances create new revenue streams while improvin
See why dentists love Dandy.
Grow your practice and deliver flawless restorations with Dandy’s 100% digital dental lab.
Quality lab work. Fair prices.
Get free, fast shipping from our 2 US based flagship labs.
Get 5-day crowns, 2-appointment dentures, implants, clear aligners and more.
Dandy is the only lab with real-time collaboration. Chat, do video-calls, text, and even get your scans reviewed remotely.
Give your patients a comfortable appointment and get better-fitting restorations overnight.
See the dandy Difference
Our promises
Learn more about how Dandy is shaping the future of dentistry.
Send your first case
Get pricing, demo our proprietary communication technology, and learn about our full-service lab offerings.
Take some time to learn more about taking your practice digital with the nations first and only digital dental lab.
Dandy Labs
We have two US-based state-of-the-art manufacturing facilities.
- One is located in Lehi, UT just outside of Salt Lake City.
- And the other is located in Carrolton, TX a suburb of Dallas.
Yes. Dandy operates its own fully digital dental labs.
Dandy has made significant financial investments in state-of-the-art manufacturing technologies and operations facilities to streamline the end-to-end manufacturing process.
Dandy now produces the majority of our core fixed and removable products in our US-based manufacturing facilities. We continue to partner with a small number of partners, only when they can help us offer you a higher-quality product. For example, our clear aligners are manufactured in Germany.
Dandy is a full-service digital dental lab. We offer Crown & Bridge, Implant Solutions, Dentures, Partial Dentures, Night Guards TMJ Appliances, Clear Aligners and Sleep Apnea Appliances.
Unfortunately, no. Dandy does not accept physical impressions, we are 100% digital. Being a digital lab allows us to complete your cases with greater precision with industry-leading turnaround times.
At Dandy, we’ve established a specialized team of clinical support experts to facilitate effective communication between our doctors and technicians. Our technicians main job is to craft your case to the best of their ability. Clinical Support’s core responsibility is to ensure the success of challenging cases and maintain strong communication with you throughout the process. As a result, you’ll primarily interact with the CST rather than the lab technician.